With an influx of patients receiving injections, practices must take steps to ensure they remain efficient.
By: Lindsey Getz, contributing writer
Ophthalmic Professional November 1, 2015Vol 4, Issue November 2015Page(s): 22, 23
Practice Trends
Managing intravitreal injections
With an influx of patients receiving injections, practices must take steps to ensure they remain efficient.
BY LINDSEY GETZ, CONTRIBUTING EDITOR
While intravitreal injections have proven to be quite successful in improving wet AMD patients’ quality of life, they also present challenges for ophthalmic practices. U.S. intravitreal injections rose to over 1 million per year in 2008 and are projected to reach nearly 6 million in 2016, according to a Campbell, et al 2010 study. This influx of injections poses challenges in managing patient flow and scheduling.
Practices that make efforts to increase their efficiency can greatly alleviate some of that burden.
A team approach
Laurel Eye Clinic in Brookville, Pa., uses a number of staff members to treat and care for wet AMD patients. To start, they assign technicians for patient history, retinal testing, and retinal photography. Also, two of the practice’s nurses serve as surgical assistants for the intravitreal injections while scribes help to keep the whole process moving forward. These efforts allow the doctor to simply come in and perform the injection, keeping the practice efficient despite having as many as four rooms for injections at one time.
Gene Stiglitz, LPN, COT, is one of the surgical assistants who helps to prep the room and the patient. His duties include getting the speculum in the eye, having the medication drawn up, and marking the eye that will receive the injection. Delegating this time-consuming prep work to qualified staff allows Laurel Eye Clinic to see more patients.
“Once the doctor comes in, the eye is already numb and ready for the injection,” Mr. Stiglitz says. “If the doctor had to do all that prep work, we wouldn’t be able to see nearly as many patients in a day. Doing it this way works best for everyone involved.”
New England Eye Center takes similar steps, says Jean McGeary, RN, BSN, CRNO, nurse manager. An ophthalmic nurse does all the prep, including drawing up the medication.
“We try to ensure everything is prepped so that all the doctor has to do is the injection itself,” Ms. McGeary says. “The doctor then leaves and the ophthalmic nurse stays to go through the post-operative instructions.”
Keeping the flow moving
Once the doctor performs the injection, Ms. McGeary says the ophthalmic nurse reviews what the doctor has requested, puts the follow-up appointment recommendation into the electronic medical record, and sends the patient to the front desk to schedule that appointment. Despite a lot of moving parts, it’s a well-oiled machine, she says. “We keep everything moving from the start of the process to the finish. With everyone performing their assigned task, the operation works efficiently.”
At Laurel Eye, a surgical coordinator helps set up the next appointment when the patient is done. They recognize the importance of ensuring that the checkout process does not become a bottleneck area. “We really do try to keep patients moving along,” says Heather Meyers, surgical scheduler with Laurel Eye Clinic. “By the time they see me they may have already been here for a couple of hours, so keeping the checkout process efficient is really important. When patients reach me I quickly get them on the schedule, print out their confirmation, and send them on their way.”
Practices’ scheduling procedures can also prevent patient flow concerns. Some practices schedule injection clinic days in which the practice sees only intravitreal injection patients. Retina Associates of Florida, P.A. in Tampa blocks off half-day sessions dedicated to injections and add-on emergencies, which allows technicians to get into a flow that streamlines the process, says Marc C. Peden, MD. “Staff can focus only on preparing patients for injections, and it eliminates pulling technicians out to perform ancillary testing or waiting for patients to dilate,” he says. “By having designated injection clinics, patients can come, be numbed and injected all within 30 minutes without dilation. This allows many of our better-seeing patients to drive themselves to the appointment and decreases their dependence on family and friends to bring them.”
In addition, treat-and-extend strategies can lessen the burden on practices as well as patients (Figures 1-3).
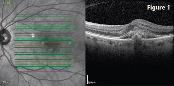
Figure 1: Baseline study shows subfoveal hyperreflectivity, consistent with subfoveal choroidal neovascularization, subfoveal fluid and mild foveal thickening. Visual acuity was 20/70. Bevacizumab (Avastin, Genentech) treatment began that day.COURTESY CHRISTOPHER HAUPERT, MD
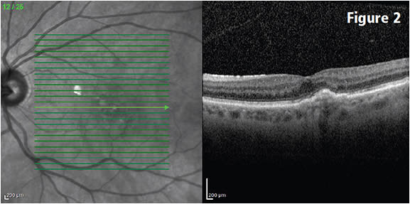
Figure 2: Three months after the baseline visits, following three monthly bevacizumab injections. Mild subfoveal elevation of the retinal pigment epithelium with resolution of all macular fluid. Visual acuity improved to 20/40. COURTESY CHRISTOPHER HAUPERT, MD
Figure 3: Eighteen months after the baseline exam, following nine bevacizumab injections using a treat-and-extend strategy. The prior three injections were administered at three-month intervals. Shows no significant change from the study performed at the three-month point, still without any macular fluid. Visual acuity improved to 20/20. COURTESY CHRISTOPHER HAUPERT, MD
Confronting challenges
Ms. McGeary says that the nurses’ heavy involvement in the intravitreal injection process keeps things moving efficiently at the New England Eye Center. The only challenge that has arisen from having the nurses prep the room and patient (as opposed to the doctor him or herself) has been acknowledging the physicians’ personal preferences. “We have over a dozen retina physicians and everyone has their own preference of how they like things, so we have the sheet to reference before setting up the room and prepping the patient,” Ms. McGeary says. Some examples that differ from standard protocol include using extra betadine, having a physician request a different kind of surgical gloves, or using a topical versus injectable anesthetic.
To address these differences and accommodate all of their retina physicians, the practice created an intravitreal injection preference sheet. “Without the preference sheet handy, it could get confusing,” Ms. McGeary says.
Another challenge that Laurel Eye commonly faces is patient fear during intravitreal injections. But, the prep process can help patients overcome a lot of that fear.
“The key to eliminating the fear factor is to make the patient feel comfortable with what’s happening,” Mr. Stiglitz says. “I tell the patient they won’t feel pain — maybe some pressure. I also tell them they may see some floaters afterwards but that those will go away. Oftentimes, just knowing what to expect will eliminate the majority of their fear.”
Keeping patients happy
When staff members help streamline intravitreal injections, the operation moves swiftly and patients are happy. Those interviewed say that many of their wet AMD patients who receive intravitreal injections become “regulars.” They get to know the staff and begin to feel comfortable with the routine.
Having complete staff involvement is an integral part in improving the overall process and your patients’ perception of your practice. OP